有牙周炎还能矫正牙齿吗?这种情况下可以

    点击量:25489

很多朋友来医院口腔检查发现自己有牙周炎,常表现为牙龈退缩、牙槽骨吸收、牙齿松动移位,同时这部分人群常会发现自己牙缝越来越变大,门牙越来越飘。因此无论是功能还是美观上,牙周炎都给大家带来了极大的困扰。那么,牙周炎患者正畸治疗怎么做呢?

1.什么是牙周炎?

牙周炎在中国人群中发病率很高,尤其是在成年人中高达90%,也就是说或多或少都存在不同程度的牙周病损。引发牙周炎的病因很多,最常见的病因是因为口腔卫生维护不良,导致菌斑沉积甚至矿化形成牙石刺激牙周组织,从而引起牙周组织的炎症。早期可能仅表现为牙龈肿痛,刷牙啃物出血等牙龈病损,但随着病程进展,则会导致牙槽骨的丧失,出现牙齿的松动移位甚至脱落的风险。

2.牙周炎患者能矫正牙齿吗?

很多患者会觉得自己的牙周状况不好,甚至有的牙都松了,所以对自己能否正畸治疗充满了疑虑。但事实上,牙周炎并不是正畸治疗的禁忌症。即使有牙槽骨的部分丧失,只要牙周病得到有效控制,牙根吸收不超过1/2就可以进行正畸治疗。因此,牙周炎病人正畸治疗前必须经过完善的牙周治疗,牙周状况稳定后方可开始治疗,且治疗过程中也需要定期进行牙周监测与维护。

3.牙周炎未经有效控制就进行正畸治疗有什么风险?

正畸治疗的原理是通过对牙齿施加某方向的力后,牙齿压力侧的牙槽骨破骨吸收,而另外一侧则会出现新骨的沉积。而当我们的牙周存在炎症时,新骨便无法沉积,此时就会加速牙槽骨的破坏,加剧牙齿的松动情况,严重甚至会导致牙齿的脱落。因此当正畸医生提醒你先去进行牙周治疗再开始正畸治疗,绝对不是危言耸听哦!

4.正畸治疗对牙周病有什么作用?

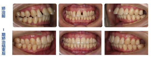
这里,我们首先来看一位牙周炎患者在同济大学附属口腔医院正畸科进行正畸治疗I期矫正结束前后的口腔内对比照:

有牙周炎还能矫正牙齿吗?这种情况下可以

廖崇珊医生供图。

治疗前这位患者存在着由牙周病所引起的典型的上前牙前突、扇形移位及牙缝过大等问题,给患者的美观和咬合功能带来了极大困扰。而在正畸I期治疗后,我们可以看到患者过大的前牙间隙得到了很好的关闭,前牙前突的问题也得到了明显的改善,牙齿的美观给患者带来了更多自信。同时,正畸治疗使得上下颌之间取得了更好的咬合关系,使牙齿的受力更加均匀平衡,使牙周组织恢复了正常的咀嚼功能刺激,而这对于牙周健康的维护是有很大帮助的。通过这个病例能够很好的说明正畸治疗为牙周炎患者的美观及咬合功能带来了显著的改善。

此外,有的牙周炎患者本身就是因为口腔内牙列拥挤,导致口腔清洁不便,从而引发的牙周炎。此类患者通过正畸治疗排齐牙列后会更加有利于口腔的清洁,菌斑控制,对牙周维护具有积极的重要意义。

5.牙周炎患者正畸治疗需要注意些什么?

正畸治疗过程中,矫正器的托槽和弓丝等装置使得日常口腔卫生清洁及保持变得困难,使得牙面易于菌斑堆积,这些因素都会对牙龈及牙周组织产生不良的刺激,加速牙周病变的发展。因此正畸过程中的定期、规范的牙周治疗及维护对于牙周病患者来说尤为重要。大家一定要注意认真清洁牙齿和矫正器哦!

本文由中国科普作家协会医学科普专委会主任委员王韬进行科学性把关。

“达医晓护”供稿

免责声明:凡本网注明“来源:XXX(非驻马店广视网、驻马店融媒、驻马店网络问政、掌上驻马店、驻马店头条、驻马店广播电视台)”的作品,均转载自其它媒体,转载目的在于传递更多信息,并不代表本网赞同其观点和对其真实性负责,作品版权归原作者所有,如有侵犯您的原创版权请告知,我们将尽快删除相关内容。凡是本网原创的作品,拒绝任何不保留版权的转载,如需转载请标注来源并添加本文链接,否则承担相应法律后果。

来源 / 人民网

责任编辑 / 詹云清

审核 / 李俊杰 刘晓明

终审 / 平筠

上一篇:擤鼻涕竟会造成中耳炎、结膜炎?快学习正确擤鼻涕姿势

下一篇:除了鸡蛋,其他蛋制品的营养你了解吗?

精品推荐